入れ歯をしたままレントゲンは出来るのか!撮影する前に確認すべき重要ポイントを解説
2025/05/19
入れ歯を装着したままレントゲン検査を受けても問題ないのか、不安に感じたことはありませんか。特に初めて撮影を受ける方にとっては、外すべきかどうか、素材による影響はあるのかなど、事前に知っておきたい疑問が多いはずです。
金属を含む義歯はレントゲン画像に影響を与える可能性があり、診断結果にも差が出ることがあります。一方で、近年では素材や技術の進化により、外さずに撮影できるケースも増えています。しかし、検査の種類や撮影部位によって対応は異なり、誤った判断をすると再撮影や診断の精度低下といったリスクが生じます。
歯科医院でのレントゲン撮影では、かみ合わせや骨の状態、残存歯の確認など、精密な診断が求められます。そのため、撮影前に義歯の素材や構造を把握し、事前に医師へ正確に伝えることが不可欠です。実際、撮影前の申告不足によって診療の流れが滞ったり、撮影時間が長引いたケースも報告されています。
この記事では、入れ歯を装着したまま受ける検査の影響や、レントゲン写真に現れる違いを、詳しく解説します。読んでいただければ、撮影前の不安が解消され、医院での検査をより安心して受けられるようになるはずです。
鈴木歯科医院は、患者様一人ひとりに合わせて、最先端のハイレベルな治療を提供しております。特に、痛みが少なく外れにくい総入れ歯の作製を得意としており、快適な食生活をサポートいたします。また、虫歯治療や根管治療、インプラント治療にも力を入れ、できるだけ歯を保存することを心がけています。定期的な口腔ケアを通じて、患者様の健康維持に努めております。

| 鈴木歯科医院 | |
|---|---|
| 住所 | 〒157-0066東京都世田谷区成城6丁目4−13 成城フルールビル 4F |
| 電話 | 03-3483-1919 |
目次
入れ歯とレントゲンの関係について
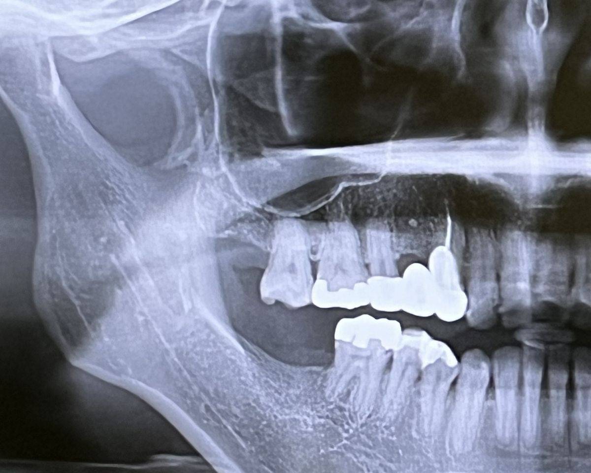
レントゲン撮影は、入れ歯治療を成功させるために欠かせない工程の一つです。外からは見えない口腔内の状態を正確に把握し、適切な診断と治療計画を立てるために使用されます。特に、骨の吸収状態や残存歯の位置、歯根の状態、かみ合わせのバランスなどを可視化する目的で活用されます。
入れ歯を製作する際、残っている歯の本数や位置、骨の厚みや形、顎のライン、さらには顎関節の動きまでを詳細に確認する必要があります。視診や触診では判断しきれない要素が多く、レントゲン画像を使うことで初めて正確な治療計画を立てることができます。
例えば、部分入れ歯を製作する場合には、残存歯の歯根の状態が重要です。歯根が短くなっていたり、歯槽骨が大きく吸収されている状態では、しっかりと入れ歯を支えることができません。こうした状況を事前に確認し、設計に反映することで、よりフィットし、安定した入れ歯が作られます。
かみ合わせに関しても、上下顎の噛み合わせがずれていると、入れ歯に大きな負担がかかり、早期に破損や不具合が生じるリスクがあります。咬合関係を把握するためにレントゲンは非常に有効です。特に、側方から撮影するレントゲン画像では、上下の顎の位置関係や、顎関節の動きの癖などがわかるため、設計精度が飛躍的に高まります。
入れ歯に使用される素材もレントゲンの見え方に影響します。例えば、金属床の義歯では金属部分がレントゲン画像に白く強く写るため、その下に隠れた部分の骨の状態や病変が見えにくくなることがあります。これにより、診断の正確性が低下することがあります。そのため、素材選びの段階でも、診断に支障が出ないような設計上の配慮が必要です。
現在では、デジタルX線装置の普及により、被ばく量が少なく、高精細な画像が得られるようになりました。撮影も短時間で完了するため、患者への負担は非常に少なくなっています。歯科医院によっては、CT撮影も取り入れ、三次元的に顎の骨の状態や歯の根の方向などを確認している場合もあります。これは、複雑なケースや外科的な処置が必要な場合に特に有効です。
以下は、レントゲンで確認できる主な診断項目とその重要性をまとめた表です。
| 診断項目 | 内容の概要 | 入れ歯設計への影響例 |
| 歯槽骨の吸収状態 | 骨の厚みや高さを確認し、義歯の安定性や耐久性を予測 | 骨が薄いと金属床を選ぶ、インプラント回避など |
| 歯根の長さ・状態 | 残存歯の耐久性や保持力を確認 | 支台歯に適さない場合は設計の再検討 |
| 咬合関係 | 噛み合わせのズレや左右のバランスを診断 | 噛み締めの癖を補正する義歯デザインを考慮 |
| 顎の形状 | 顎の幅・高さ・傾きなど骨格を確認 | 義歯の安定性や装着感の最適化に活用 |
| 歯周疾患や病変 | 見えない病変を発見し、治療の優先度を判断 | 問題のある歯を除外した設計、治療後の製作対応へ |
これらの要素を把握せずに入れ歯を作ってしまうと、装着後に痛みや違和感が出たり、噛み合わせが不安定になったりといった問題が発生します。特に、見えない部分での炎症や骨の吸収が進行していると、装着後しばらくしてから大きなトラブルに発展する可能性もあります。
そのため、正確な診断を行うためには、視診や模型だけでは不十分であり、必ずレントゲンを活用することが望ましいです。事前にしっかりと内部の状態を確認し、設計・製作に反映させることで、長く快適に使える入れ歯の提供が可能になります。誤差を最小限に抑えた精密な入れ歯こそが、口腔内の健康を守り、生活の質を高める大きな鍵となります。
入れ歯をしたまま受けられる検査と外す必要がある検査の違い
入れ歯を装着した状態で医療機関の各種画像検査を受けることが可能かどうかについては、検査の種類や目的、入れ歯の素材、装着位置によって異なります。患者自身が判断するのではなく、正確な情報をもとに医療機関での事前確認が必要です。特に画像診断では金属の影響が画像に現れ、診断に支障をきたすことがあるため、検査の種類ごとに適切な対応を知っておくことが重要です。
胸部検査の場合、レントゲンでは肺や心臓の周囲の鮮明な画像を得る必要があります。上顎の義歯に金属が使われていると、その影響で肺野が白く映り、診断が困難になる可能性があります。このような場合は、医師の判断で入れ歯を外してから撮影することが推奨されることがあります。一方で、レジン製や金属を使用していない入れ歯であれば、そのまま検査を受けられるケースもあります。検査目的が口腔外の部位にある場合でも、金属の影響が画像全体に干渉することがあるため、注意が必要です。
腹部のCT検査では、入れ歯の位置が撮影部位から離れているため、影響が少ないと考えられがちですが、特定の角度や断層の方向によっては画像上にアーチファクトが生じることがあります。これにより、腸管や臓器の輪郭が不明瞭になり、診断の精度が低下することがあります。特に磁性アタッチメントを使用した義歯は、磁場に反応して予期せぬ動きをする恐れがあるため、CTであっても外すよう指示されることがあります。
MRI検査では、金属の有無が診断に極めて大きな影響を及ぼします。MRIは強力な磁場と電波を使って体内の断層画像を作るため、金属があると画像に歪みが生じるだけでなく、発熱や動作による人体へのリスクも考えられます。そのため、磁石が付いた入れ歯や金属ワイヤーを用いた義歯は、原則としてMRI室に入る前に完全に取り外すことが求められます。MRI対応の非金属義歯であっても、装着位置や構造によっては安全性を確保できないため、医療スタッフと相談の上で判断する必要があります。
以下に、代表的な検査ごとの入れ歯着脱の要否とその理由をまとめた表を掲載します。
| 検査名 | 入れ歯の着脱判断 | 着脱理由の例 |
| 胸部レントゲン | 多くの場合外すよう指示される | 肺野の撮影に金属が重なり、画像が不鮮明になる可能性がある |
| 腹部CT | 素材や装着位置による | 撮影範囲外でも金属が影響する場合がある |
| 頭部CT | 原則外す | 顎や口腔周囲の画像に金属のアーチファクトが干渉する |
| MRI | 必ず外す | 磁場と金属の反応による画像障害や安全性の懸念が大きいため |
| 歯科用レントゲン | 素材確認後に装着可否を判断 | 撮影目的に応じて、かみ合わせや支台歯評価のために装着が必要な場合あり |
このように、入れ歯を装着したまま画像検査を受けられるかどうかは、検査の目的や部位、装着されている入れ歯の種類により異なります。検査を受ける前には、医師や検査技師に必ず申告し、指示に従うことが大切です。また、歯科医院にて義歯の構造や素材、安全性に関する情報をあらかじめまとめておくと、検査時のトラブルを未然に防ぐことができます。自分自身の健康を守るためにも、医療機関との連携を密に取りながら、安全かつ正確な検査を受ける準備を整えておくことが求められます。
外さなくてもいい入れ歯はあるのか
入れ歯は毎日の食事や会話を支える大切な装置ですが、その着脱について悩む方は少なくありません。特に就寝時や検査の際に毎回外す必要があるのかどうか、外すことで不快感や手間を感じている人も多いのが現状です。そこで近年注目されているのが外さなくてもいい入れ歯、いわゆる常時装着型の高機能義歯です。このタイプの入れ歯には、従来の義歯と大きく異なる特徴がいくつもありますが、全ての人に向いているわけではありません。正しい知識を持って選ぶことが重要です。
外さなくてもいい入れ歯の代表例として知られているのが、磁性アタッチメント義歯とテレスコープ義歯です。これらは高い安定性と審美性を兼ね備えた特殊な構造を持ち、残存歯や専用の装置に固定されることで、一般的な入れ歯のように日常的に着脱する必要がなくなります。例えば磁性アタッチメント義歯は、歯根やインプラントに取り付けた磁石と入れ歯側の金属パーツが引き合う力で固定され、外れにくくズレにくいのが特長です。テレスコープ義歯は、内冠と外冠を使った筒状構造によって、自分の歯にしっかりと入れ歯をはめ込む仕組みで、高い保持力と違和感の少なさを実現しています。
しかしこのような義歯は、誰にでも適しているわけではありません。まず第一に、残っている歯の本数とその状態が良好である必要があります。磁性アタッチメント義歯の場合、固定源となる歯根またはインプラントの埋入が必要となるため、事前の診査やCTによる骨の確認が必須です。テレスコープ義歯も同様に、支台となる歯がある程度しっかりと残っていなければ適用が難しくなります。
外さなくていい入れ歯を選ぶ際には、その快適性と共に外さないことによるリスクも把握しておかなければなりません。例えば、就寝中に外さずに使用した場合、誤嚥の危険性や口腔内の清掃不足による炎症リスクが高まることがあります。そのため、外さなくていい入れ歯とはいえ、清掃や点検のために定期的な取り外しとメンテナンスは必須です。取り外しの頻度は少なくても済む設計にはなっていますが、完全に一度も外さないことが推奨されるわけではありません。
以下に、外さなくてもいい義歯の代表的な種類と特徴、適応条件をまとめた表を掲載します。
| 義歯の種類 | 特徴 | 適応条件 | 注意点 |
| 磁性アタッチメント義歯 | 磁石の力で固定され安定性が高い | インプラントまたは歯根が健康で十分にあること | MRI時は必ず外す必要がある |
| テレスコープ義歯 | 筒状構造で自歯に精密にフィット | 支台歯が健康で最低数本必要 | 製作に時間がかかり定期的な調整が必要 |
| ノンクラスプデンチャー | 金属バネがなく目立ちにくい | 部分入れ歯で審美性を重視する場合に有効 | 常時装着は可能だが清掃性に注意が必要 |
このように、外さなくてもいい入れ歯には明確な利点がありますが、それと同時に適用条件や管理の注意点も存在します。日常的な手間を減らすために導入したはずの義歯が、逆に口腔内トラブルの原因になってしまっては本末転倒です。そのため、こうした義歯を検討する際には、必ず精密な診査と歯科医師との十分な相談が必要です。見た目や使いやすさだけでなく、自分の歯や骨の状態に本当に合っているかを総合的に判断し、自分にとって最適な義歯を選ぶことが、長期的な口腔の健康維持につながります。
自分に最適な入れ歯と検査方法の選び方
入れ歯の種類が多様化し、検査機器も進化している現在、自分にとって最適な入れ歯と、それに適した検査方法を選ぶことは非常に重要です。選択を誤ると、装着後の違和感や不具合、さらには検査時のトラブルにもつながるため、正しい知識に基づいた判断が求められます。特に医療機関で行うレントゲンやCT、MRIなどの画像検査では、入れ歯の素材や構造が検査結果に大きな影響を及ぼすため、あらかじめ検査対応を考慮した入れ歯選びが推奨されます。
まず前提として、入れ歯には保険適用のシンプルなタイプから、自費治療で提供される高機能な義歯までさまざまな種類があります。金属床義歯や磁性アタッチメント義歯などは耐久性や快適性に優れていますが、金属が画像に干渉することもあり、検査時に影響が出る場合があります。一方で、レジンやポリエステル系素材で作られた義歯は、画像への影響が比較的少なく、レントゲンやCT検査時にも安心して使用できるケースが多くなっています。
適切な義歯選びをサポートする一つの方法として、自己診断チャートがあります。自分の生活スタイルや口腔内の状態、検査歴や今後受ける可能性のある画像診断などを整理し、それに基づいて義歯の特徴を比較することで、無理なく安全に使用できる義歯を見つけることが可能になります。
以下は、素材別に入れ歯と検査方法の適応性を整理した表です。検査内容に応じてどのような義歯が向いているか、また事前に注意すべき点を明確にしています。
| 義歯素材 | レントゲン対応 | CT対応 | MRI対応 | 特記事項 |
| レジン義歯 | 〇 | 〇 | △ | 画像には影響しにくいが、構造に金属が含まれると注意が必要 |
| 金属床義歯 | △ | △ | × | 金属部が画像に強く映るため、撮影部位によっては取り外しが必要 |
| 磁性アタッチメント義歯 | 〇 | △ | × | MRIでは使用禁止。撮影前には必ず取り外しが必要 |
| テレスコープ義歯 | △ | △ | × | 内部に金属を使用しているため、CTやMRIに影響が出ることがある |
| ノンクラスプ義歯 | 〇 | 〇 | △ | 審美性に優れるが、構造の確認と素材の組み合わせによる注意が必要 |
このように、自分にとって最適な入れ歯を選ぶためには、単なる装着時の快適さだけでなく、検査時の安全性や適応性まで考慮する必要があります。歯科医院では、口腔内の状態だけでなく、検査歴や今後の医療予定なども相談しておくとよいでしょう。さらに、歯科医師と連携して、医療機関で安全かつ正確な検査を受けるための情報共有も欠かせません。
検査と義歯の相性は、見落とされがちな要素ですが、実際には非常に重要です。もしこれから新しい入れ歯を作ろうと考えている場合、検査に強い素材・構造のものを選ぶことで、将来的なトラブルを未然に防ぎ、安心して生活を送ることができます。歯科医院では、撮影や画像診断を見越した入れ歯選びの相談にも対応していますので、不安がある方は遠慮なく尋ねてみてください。自分に合った義歯と検査方法を見つけることが、快適な毎日への第一歩です。
まとめ
入れ歯を装着したままレントゲンやCT、MRIなどの検査を受けることができるのかどうかは、多くの方にとって不安や疑問の対象となっています。特に、検査中に誤って金属が影響を与えることや、医療機器に支障が出るのではないかと心配になるのは当然です。しかし実際には、入れ歯の素材や構造、検査の種類によっては装着したまま安全に受けられるケースも少なくありません。
金属を使用した義歯は画像に影響を及ぼすことがありますが、近年はデジタル技術の進化により、被ばく量が抑えられ、画像の精度も向上しています。また、撮影部位によっては入れ歯を外す必要がない場合もあり、事前に医療機関で適切な指示を受けることが大切です。特にMRI検査では磁場の影響により、磁石付きの義歯などは必ず取り外す必要があるため、あらかじめ素材の情報を把握し、正確に伝える準備が求められます。
この記事では、撮影で確認できる顎や骨の状態、かみ合わせ、残存歯の診断意義についても触れながら、入れ歯と検査の関係を詳しく解説してきました。素材別にみた対応表や、義歯の種類に応じた注意点を整理することで、読者自身が判断できるよう構成しています。記事を通じて、読者が自身の義歯と検査内容を照らし合わせ、安全かつスムーズに診断が受けられる準備を整えられるよう意識しています。
歯科治療の精度を高め、口腔全体の健康を守るためには、こうした細かな配慮が不可欠です。今の入れ歯が本当に自分に合っているのか、検査時のトラブルを未然に防げるのか。このような視点で情報を見直すことが、将来の安心と快適な日常生活につながっていきます。どんな検査を控えているかにかかわらず、この記事の内容を参考にして、ご自身の入れ歯としっかり向き合ってみてください。
鈴木歯科医院は、患者様一人ひとりに合わせて、最先端のハイレベルな治療を提供しております。特に、痛みが少なく外れにくい総入れ歯の作製を得意としており、快適な食生活をサポートいたします。また、虫歯治療や根管治療、インプラント治療にも力を入れ、できるだけ歯を保存することを心がけています。定期的な口腔ケアを通じて、患者様の健康維持に努めております。

| 鈴木歯科医院 | |
|---|---|
| 住所 | 〒157-0066東京都世田谷区成城6丁目4−13 成城フルールビル 4F |
| 電話 | 03-3483-1919 |
よくある質問
Q.入れ歯をしたままレントゲンを撮ると、画像にどのような影響がありますか?
A.入れ歯に金属が含まれている場合、レントゲン写真に白い影が映り込み、骨の診断や虫歯、歯周病の有無、歯根の状態などが不明瞭になることがあります。特に顎の診断やかみ合わせを評価する撮影では、金属による画像の乱れが診断精度に影響を与えるため、検査前に撮影内容と入れ歯の素材を必ず確認することが必要です。
Q.CT検査やMRIでは、入れ歯を装着したままでも問題ないでしょうか?
A.CT検査では装着したままでも対応できる場合がありますが、MRIでは磁場の影響で金属が発熱や移動する可能性があるため、すべての義歯を外す必要があります。歯科で使われる磁性アタッチメントや金属床などは特に注意が必要で、装置への影響や患者の安全性にかかわるため、検査予約時に入れ歯の有無や素材を申告し、撮影方法を相談することが推奨されます。
Q.外さなくてもいい入れ歯にはどのような種類がありますか?
A.外さなくてもよいタイプの入れ歯としては、磁性アタッチメントやテレスコープ義歯、ノンクラスプ義歯などがあります。これらは安定性が高く、金属の露出が少ないため見た目が自然で、義歯を装着したままでも日常生活が快適になるというメリットがあります。ただし、検査や診断時には構造や装置によって外す必要がある場合もあり、素材や使用部位によって判断が分かれるため、医師の説明をもとに選ぶことが重要です。
Q.歯科医院でレントゲン撮影を受けるとき、どんな準備が必要ですか?
A.歯科でのレントゲン撮影では、入れ歯の素材や構造を事前に把握しておくことが大切です。金属や磁石が含まれている場合は、医院から外すよう指示がある場合があり、事前に申告することでスムーズに撮影が行えます。また、放射線量は非常に少なく安全ですが、位置や姿勢によって診断精度に影響が出るため、技師の案内に従って静止した状態を保つことが求められます。検査部位や目的によって必要な対応が異なるため、医院での説明をしっかり受けておくと安心です。
医院概要
医院名・・・鈴木歯科医院
所在地・・・〒157-0066 東京都世田谷区成城6丁目4−13 成城フルールビル 4F
電話番号・・・03-3483-1919


